MIchrome 16
MIchrome 16 1600万彩色USB 3.0显微相机,具有高分辨率和真实色彩还原能力,非常适合明场成像环境应用,可以帮助用户在捕获清晰和高质量的图像。
MIchrome 16 搭载鑫图Mosaic 计算成像计算软件,为您提供实时图像拼接高级成像功能,在您移动载物台的数秒时间内就可以同时生成拼接大图,轻快、顺畅、省心!
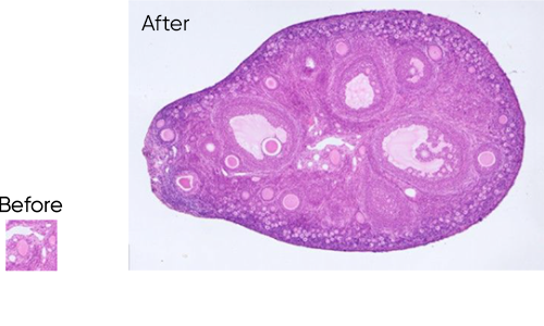
MIchrome 16 搭载鑫图Mosaic 计算成像计算软件,为您提供实时景深融合功能,在您转动对焦环拍摄不同景深点的同时即可生成清晰的大景深图像,快速、准确、高效!
MIchrome 16 具有高达1600万的成像分辨率,同时集成了1800-10000K自动色温调节功能,为您的原始图像提色彩保真度。
请登录下载此文件。
登录
2000万彩色USB 3.0显微相机

2000万彩色制冷CMOS显微相机

4K HDMI+USB 3.0 显微相机