Libra 3412UC

USB 3.0 全局快门彩色CMOS相机

  • 350nm-1100nm
  • 17.4 mm (1.1")
  • 3.4 μm × 3.4 μm
  • 28 fps @ 8 bit
  • USB 3.0 / 外触发
询 价
  • products_banner
  • products_banner
  • products_banner
  • products_banner

产品介绍

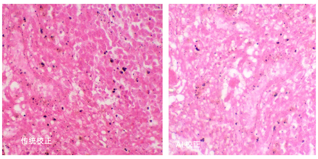
Libra 3412UC彩色系列同时支持ISP 自动白平衡功能和 AI 色彩校正功能,能够为 H&E 染色、教学展示等场景中,实现更接近目镜下的真实观感, 让记录、展示与交流更加可靠。

  • 全局快门,拍摄更自然顺畅

    Libra 3412UC采用全局快门架构,所有像素同时曝光,画面在快速移动与场景切换中无拖影,拍摄过程更顺畅,操作更高效。

    全局快门,拍摄更自然顺畅
  • 真实色彩还原,所见即所得

    Libra 3412UC彩色系列同时支持ISP 自动白平衡功能和 AI 色彩校正功能,能够为 H&E 染色、教学展示等场景中,实现更接近目镜下的真实观感, 让记录、展示与交流更加可靠。

    真实色彩还原,所见即所得
  • USB3.0+Mosai3.0 软件平台

    USB 3.0接口提供即插即用的便捷性,安装简便,是独立显微镜系统的理想选择。结合Mosaic 3.0软件平台,它可实现先进的实时图像处理功能,提供实时图像拼接和景深融合等高阶功能,显著提升显微工作效率。

    USB3.0+Mosai3.0 软件平台

技术参数 >

  • 型号: Libra 3412UC
  • 传感器类型: CMOS
  • 峰值量子效率: 请参考量子效率曲线
  • 彩色/黑白: 彩色
  • 对角线尺寸: 17.4 mm (1.1”)
  • 有效面积: 14.0 mm x 10.5 mm
  • 像素大小: 3.4 μm x 3.4 μm
  • 分辨率: 4096 (H) x 3072 (V)
  • 位深: 8 bit,12 bit
  • 全分辨率帧率: 最大值:28 fps @ 12 MP
  • 读出噪声: 1.6 e-@ Sensitive Mode
  • 快门类型: 全局快门
  • 触发模式: 硬件, 软件
  • 触发输出: 支持
  • 数据接口: USB 3.0
  • 光学接口: C-Mount
  • 备注: 如需了解更多技术参数信息,请下载产品技术规格书查看
显示更多

下载 >

  • 软件 - Mosaic 3.1.2.1

    软件 - Mosaic 3.1.2.1

  •  Tucsen SDK Kit ( Windows)

    Tucsen SDK Kit ( Windows)

  • Libra 3405UC & Libra 3412UC 产品手册

    Libra 3405UC & Libra 3412UC 产品手册

Share Link

topPointer
codePointer
call
联系我们
bottomPointer
floatCode

申请演示或报价